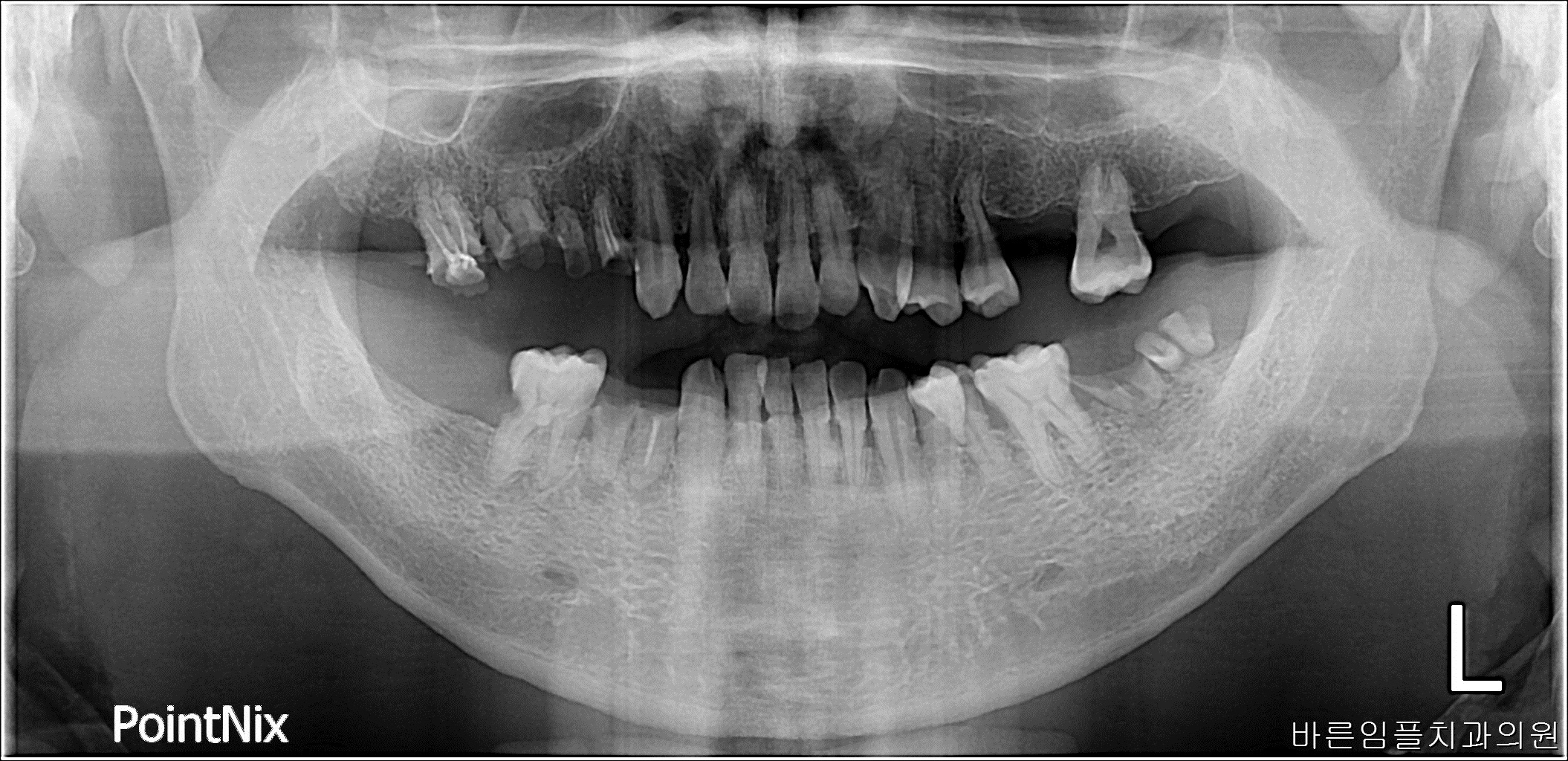
박ㅇㅇ / 수면임플란트 페이지 정보 작성일 23-10-27 17:02 2023-04-20 박ㅇㅇ Before 2023-09-07 박ㅇㅇ After 박ㅇㅇ / 수면임플란트 목록 이전글이ㅇㅇ / 수면임플란트 다음글 남ㅇㅇ / 임플란트