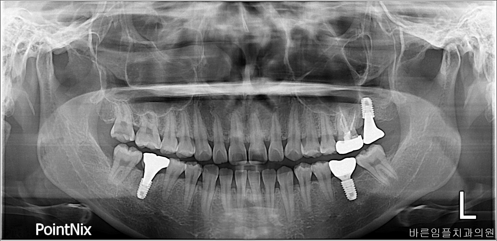
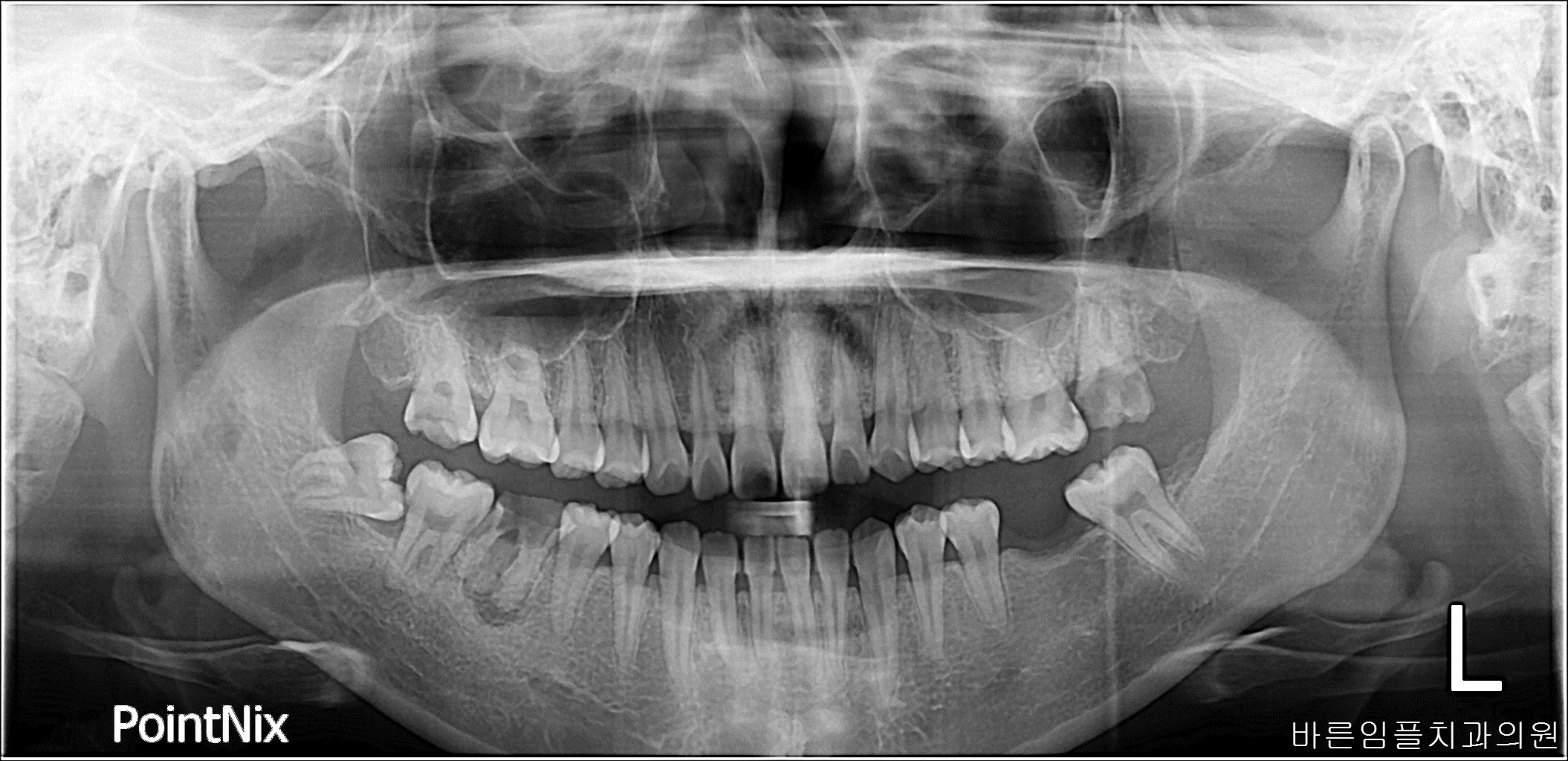
남ㅇㅇ / 임플란트 페이지 정보 작성일 23-10-27 17:02 2022-10-01 남ㅇㅇ Before 2023-09-02 남ㅇㅇ After 남ㅇㅇ / 임플란트 목록 이전글박ㅇㅇ / 수면임플란트 다음글 김ㅇㅇ / 수면임플란트