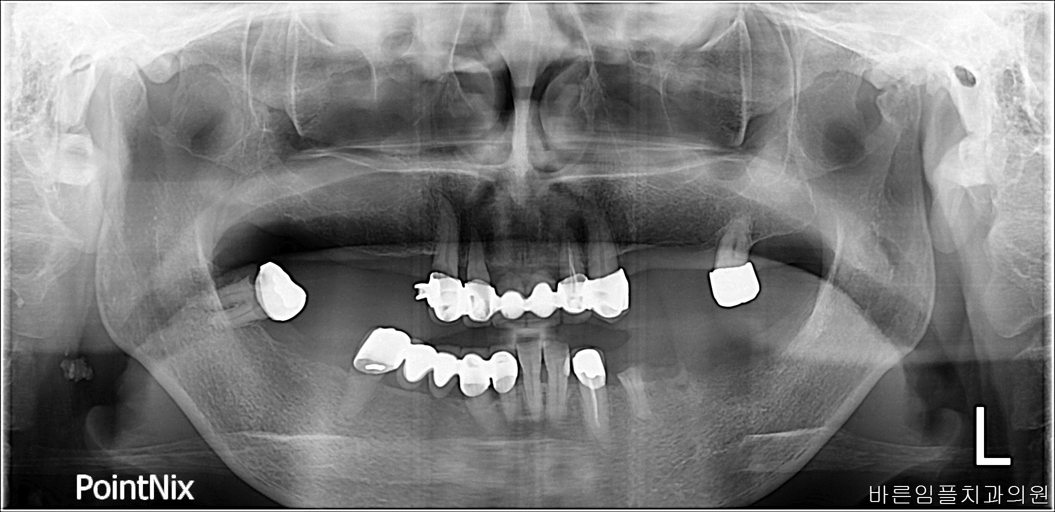
김ㅇㅇ / 수면임플란트 페이지 정보 작성일 23-10-27 16:57 2022-12-05 김ㅇㅇ Before 2023-07-04 김ㅇㅇ After 김ㅇㅇ / 수면임플란트 목록 이전글김ㅇㅇ / 임플란트 다음글 김ㅇㅇ / 임플란트